扁桃線 手術 千葉



分享 扁桃腺炎 一隻貓一隻魚一把梳子 隨意窩xuite日誌

分享 扁桃腺炎 一隻貓一隻魚一把梳子 隨意窩xuite日誌

Qiajxoztx Phvm

Qiajxoztx Phvm

扁桃腺摘出手術 入院初日 退院までの生活記録 Youtube

扁桃腺摘出手術 入院初日 退院までの生活記録 Youtube

2016年7月扁桃腺手術記錄 國泰張燕良醫師 皂室陶逸之愛正在揮霍 痞客邦

2016年7月扁桃腺手術記錄 國泰張燕良醫師 皂室陶逸之愛正在揮霍 痞客邦

耳癌手術

耳癌手術

伊原ブログ32 全身麻酔 手術

伊原ブログ32 全身麻酔 手術

伊原ブログ32 全身麻酔 手術

2016年7月扁桃腺手術記錄 國泰張燕良醫師 皂室陶逸之愛正在揮霍 痞客邦

2016年7月扁桃腺手術記錄 國泰張燕良醫師 皂室陶逸之愛正在揮霍 痞客邦

2016年7月扁桃腺手術記錄 國泰張燕良醫師 皂室陶逸之愛正在揮霍 痞客邦

2016年7月扁桃腺手術記錄 國泰張燕良醫師 皂室陶逸之愛正在揮霍 痞客邦

扁桃腺手術 毎日心が忙しない マルミの姉妹育児日記

扁桃腺手術 毎日心が忙しない マルミの姉妹育児日記

2016年7月扁桃腺手術記錄 國泰張燕良醫師 皂室陶逸之愛正在揮霍 痞客邦

2016年7月扁桃腺手術記錄 國泰張燕良醫師 皂室陶逸之愛正在揮霍 痞客邦

甲狀腺腫大如椰子 台醫療團斐濟義診手術割除

甲狀腺腫大如椰子 台醫療團斐濟義診手術割除

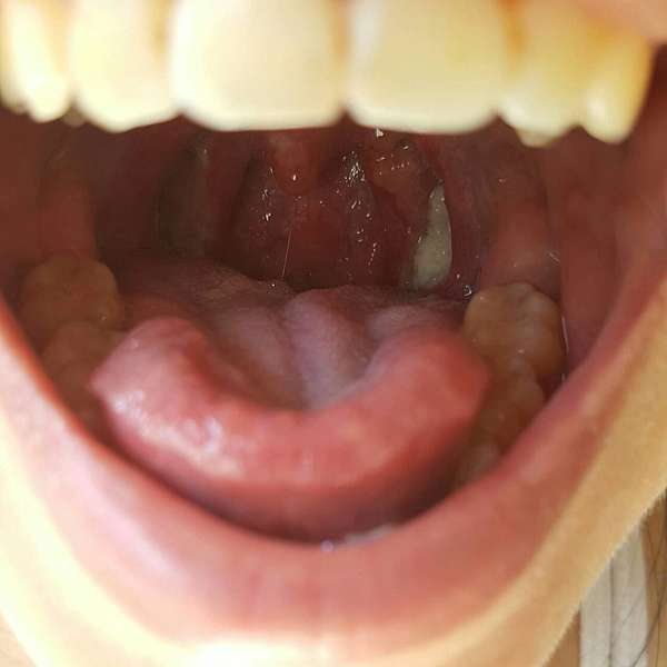
隕石級 扁桃腺結石卡氣管險致命

隕石級 扁桃腺結石卡氣管險致命

2016年7月扁桃腺手術記錄 國泰張燕良醫師 皂室陶逸之愛正在揮霍 痞客邦

2016年7月扁桃腺手術記錄 國泰張燕良醫師 皂室陶逸之愛正在揮霍 痞客邦

鋸開胸骨 開心 手術聞之色變 微創心臟手術降低傷口感染 出血量 預後良好

鋸開胸骨 開心 手術聞之色變 微創心臟手術降低傷口感染 出血量 預後良好

日帰り手術センター 千葉徳洲会病院

日帰り手術センター 千葉徳洲会病院

牙痛 牙齦萎縮太難受了 老牙醫說 用這6招防止牙齦發炎 雪花新闻

牙痛 牙齦萎縮太難受了 老牙醫說 用這6招防止牙齦發炎 雪花新闻

子供の扁桃腺手術 知っておくべき知識と保険で備えるべき費用

子供の扁桃腺手術 知っておくべき知識と保険で備えるべき費用

台北縫割雙眼皮手術推薦 光澤晶漾診所

台北縫割雙眼皮手術推薦 光澤晶漾診所

日帰り手術センター 千葉徳洲会病院

日帰り手術センター 千葉徳洲会病院

子供 幼児 アデノイド 扁桃腺切除 通院 手術 入院 退院まで お出かけ日記

子供 幼児 アデノイド 扁桃腺切除 通院 手術 入院 退院まで お出かけ日記

千葉県こども病院の新着記事 アメーバブログ アメブロ

千葉県こども病院の新着記事 アメーバブログ アメブロ

口臭の原因 膿栓 千葉県浦安市の歯科医院 浦安デンタルクリニック 浦安インプラント オフィスホワイトニング

口臭の原因 膿栓 千葉県浦安市の歯科医院 浦安デンタルクリニック 浦安インプラント オフィスホワイトニング

手術後の消毒

手術後の消毒

Http Www City Chiba Jp Other Byouin Kaihin Pdf Hentousen Pdf

Http Www City Chiba Jp Other Byouin Kaihin Pdf Hentousen Pdf

Source : pinterest.com